چیزوں کو منہ میں ڈالنا اور چکھنا نوزائیدہ اور چھوٹے بچوں کی نشوونما کے دوران ایک قدرتی بات ہے۔ تاہم اپنی اس فطرت کے باعث اکثر بچے ایسی اشیا نگل لیتے ہیں جو جسم کے لیے نقصان دہ ہو سکتی ہیں۔ان چیزوں میں سکے، کھلونے، بٹن سیل، زیورات وغیرہ بچوں کے پیٹ میں جا کر سنگین طبی مسائل پیدا کر سکتے ہیں۔ پچھلے کچھ سالوں میں ان واقعات میں نمایاں اضافہ ہوا ہ
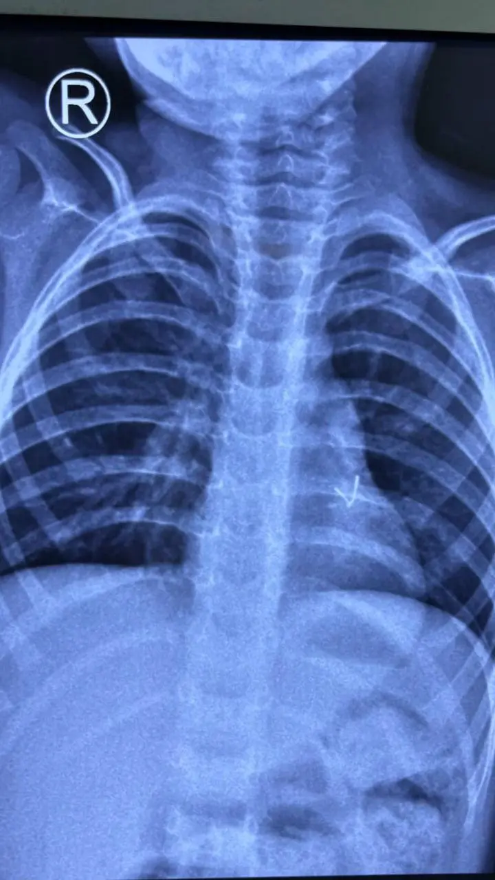
اس تصویر میں بچے کے پھیپھڑوں کے آخر میں ایک سفید دھبہ نظر آتا ہے، جو کھلونا گاڑی کا بلب ہےچھوٹے بچوں کے ہاتھ جو لگتا ہے وہ عموماً اسے نگلنے کی کوشش کرتے ہیں اور یہی بات بہت سے والدین کو فکرمند رکھتی ہے۔
لیکن انڈیا میں ایک تین سالہ بچے کی جانب سے کھونا کار کا ایل ای ڈی بلب نِگلنے اور آپریشن کے بعد اسے آپریشن کے ذریعے نکالنے کی خبر نے بہت سے والدین کو چونکا دیا ہے۔
جب تین سالہ راہل کی طبعیت کچھ خراب ہوئی تو ابتدائی طور پر ڈاکٹروں نے انھیں نمونیا کی تشخیص کی اور اُن کے علاج کے لیے اینٹی بائیوٹک ادویات بھی تجویز کی گئیں۔
مگر طویل علاج کے باوجود بچے کی طبعیت نہ سنبھلی، جس کے بعد ڈاکٹروں نے بچے کے سی ٹی سکین سمیت تفصیلی معائنے کا فیصلہ کیا۔
تفصیلی جسمانی معائنے کی ابتدائی رپورٹ میں بچے کے ایک پھیپھڑے کے بائیں جانب دھات کا ایک ٹکڑا نظر آیا جسے بذریعہ آپریشن نکالنے کا فیصلہ کیا گیا۔
ڈاکٹروں نے تین سالہ بچے کے پھیپھڑے میں پھنسے دھاتی ایل ای ڈی بلب کو کامیاب آپریشن کی مدد سے نکال دیا۔
اور یوں بالآخر بچے کو لگاتار کھانسی اور سانس لینے میں دشواری سے نجات ملی، جس کا اس بچے کو تین ماہ سے سامنا کرنا پڑ رہا تھا۔
دیکھا جائے ہر چیز کو منہ میں ڈالنا اور چکھنا چھوٹے بچوں کی نشوونما کے دوران ایک قدرتی بات ہے۔ تاہم اپنی اس فطرت کے باعث اکثر بچے ایسی اشیا نگل لیتے ہیں جو جسم کے لیے نقصان دہ ہو سکتی ہیں۔
ان چیزوں میں سکے، کھلونے، بٹن، سیل وغیرہ بچوں کے پیٹ میں جا کر سنگین طبی مسائل پیدا کر سکتے ہیں۔ پچھلے کچھ برسوں میں اِن واقعات میں نمایاں اضافہ ہوا ہے جس سے والدین کی آگاہی بہت ضروری ہے۔
تو چھوٹے بچوں کے والدین کو کیا احتیاطی تدابیر اختیار کرنی چاہییں؟ اور اگر کوئی بچہ کچھ نِگل لے تو فوری طور پر اس صورتحال سے نمٹنے کے لیے کیا کیا جائے؟ اس مضمون میں ہم نے انھی باتوں کا جائزہ لینے کی کوشش کی ہے۔

ڈاکٹرز کو راہل کے پھیپھڑوں سے ایل ای ڈی بلب نکالنے کے لیے اُن کے جسم پر چار سینٹی میٹر کا کٹ لگانا پڑا۔ ڈاکٹروں نے کھلونا کار کا ایل ای ڈی بلب نکالنے کا کامیاب آپریشن کیا جس کے بعد بچے کے پھیپھڑوں نے مکمل کام کرنا شروع کیا۔
اس آپریشن میں حصہ لینے والے سرجن ڈاکٹر ویمیش راجپوت نے کہا کہ ’یہ بہت ہی نایاب کیس تھا جس سے ہم نے ڈیل کیا۔ چھوٹا ایل ای ڈی بلب پھیپھڑوں میں گہرائی تک چلا گیا تھا اور اسے نکالنے کی ابتدائی کوششیں ناکام رہیں تھیں۔تاہم ’منی تھوریکوٹومی‘ (سرجری کا ایک طریقہ کار) کے ذریعے ہم نے بچے کا کامیاب آپریشن کیا اور ایل ای ڈی بلب نکال لیا گیا۔‘
یونیورسٹی آف سڈنی کی ایک تحقیق میں ایسے کیسز کا جائزہ لیا گیا تو معلوم ہوا کہ بچوں کی جانب سے بٹن کے سائز کی بیٹری نگلنے کے 400 سے زیادہ واقعات سامنے آئے۔
ایک کیس میں دو سال سے کم عمر کے بچے نے 20 ملی میٹر سائز کی بیٹری نگل لی اور صرف دو گھنٹوں کے اندر اندر اس کی غذائی نالی کی شدید سوزش پیدا ہو گئی۔
بیٹری کو وقت پر نہ ہٹانے سے جسم کے اندر خون بہنے کا خطرہ آٹھ گنا بڑھ جاتا ہے۔ اس طرح کے نو فیصد کیسز میں بچے مر جاتے ہیں۔ ان میں سے زیادہ تر معاملات میں موت جسم کے اندر خون کے رساؤ کے باعث ہوتی ہے۔
ایک بچے کو سکہ نگلنے کے بعد کولوراڈو کے چلڈرن ہسپتال میں داخل کرایا گیا۔ عمومی طور پر سکہ قدرتی طور پر جسم سے باہر نکل جاتا ہے لیکن اس کیس میں یہ غذائی نالی میں پھنس گیا تھا.
ڈاکٹروں کا کہنا تھا کہ ایسی اشیا کو جسم کے اندر سے 24 گھنٹے کے اندر اندر ہٹا دینا چاہیے ورنہ خون بہنے یا سوزش ہو جانے کا خطرہ ہوتا ہے۔ اس سے ظاہر ہوتا ہے کہ یہ واقعات پوری دنیا میں ہو رہے ہیں۔ اس لیے چھوٹے بچوں پر توجہ دینے کی ضرورت ہے۔
نقصاندہ اشیا جو بچے بآسانی نگل لیتے ہیں

سکے، بٹن بیٹری (سیل)، چھوٹے کھلونے یا ان کے ٹکڑے، ، زیورات، پنسل کی نوک یا ربڑ، پن، کلپس وغیرہ وہ اشیا ہیں جو بچے کھیلتے کھیلتے نِگل لیتے ہیں۔
بی بی سی نے سرجن ڈاکٹر ویمیش راجپوت سے اس بارے میں بات کی کہ آیا دھاتی اشیا یعنی سکے وغیرہ نگلنا چھوٹے بچوں کے لیے جان لیوا ثابت ہو سکتا ہے؟
ڈاکٹر راجپوت نے کہا کہ ’ہمیں سب سے پہلے اپنے جسم کی ساخت پر غور کرنا چاہیے، ایک جانب سانس کی نالی ہے اوراس کے ساتھ ہی غذا کی نالی، اگر حادثاتی طور پر کوئی بھی ایسی شے غذائی نالی میں داخل ہو جائے، تو اس کے پاخانے کے ذریعے باہر آنے کے امکانات زیادہ ہوتے ہیں۔ بہت کم مریضوں کو سرجری کروانی پڑتی ہے۔‘
اُن کے مطابق ’لیکن اگر ایسی کوئی شے سانس کے نالی میں داخل ہو جائے تو اس کے لیے فوری طبی مدد کی ضرورت ہوتی ہے۔ اگر تو بچے کے تھوک یا بلغم کے ساتھ ایسی چیز باہر آ جائے تو ٹھیک ورنہ مسئلہ بن جاتا ہے۔ اس لیے چھوٹے بچوں کو ایسی چیزوں سے دور رکھنا چاہیے۔‘
ممبئی میں بچوں کے ڈاکٹر وجے ییوالے کہتے ہیں کہ ’کھیل کود میں ایسی چیزیں نگلنا بچوں میں بہت عام ہیں، خاص طور پر تین سے چھ سال کی عمر کے بچوں میں۔ یہ اشیا جان لیوا ہیں یا نہیں اس کا انحصار ان کے سائز اور کیمیائی اجزا پر ہوتا ہے۔‘
ڈاکٹر وجے کے مطابق جسم میں داخل ہونے کے بعد بٹن والی بیٹریز یا سیل لیک ہو سکتے ہیں اور کیمیائی اجزا خارج ہو سکتے ہیں، میگنیٹ یا مقناطیسی کا بھی اایسا ہی اثر ہوتا ہے۔
جب بچے ایسی چیزیں نِگل لیں تو کیا کریں؟

بچے اگر ایسی چیزیں نگل لیں تو فوری کیا کیا جائے؟ اس سوال کے جواب میں ڈاکٹر وجے ییولے نے کہا کہ ’جب معلوم ہو کہ بچے نے ایسی کوئی چیز نگل لی ہے تو اُن کو فوری طور پر ماہر ڈاکٹر کے پاس لے جانے کی ضرورت ہوتی ہے۔‘
اُن کے مطابق ’کچھ بچوں میں بظاہر کوئی علامت نہیں دکھائی دیتی۔ اگر انھوں نے سکے جیسی چیز نگل لی ہے تو انھیں گھبرائے بغیر ایمرجنسی میں لے کر جائیں۔ خود سے بچے کو کوئی ایسی غذا نہ دیں جو آپ کے خیال میں اس چیز کو جسم سے خارج کر سکتی ہے کیونکہ اس سے صورتحال بگڑ بھی سکتی ہے۔‘
ڈاکٹر راجپوت کہتے ہیں کہ اس صورت میں ڈاکٹر سے فوری مدد لی جائے۔
’اگر کوئی ایسی چیز بچے کی غذائی نالی میں داخل ہو جائے تو بچہ روئے گا اور کچھ دیر بعد وہ پُرسکون ہو جائے گا۔ اس کے بعد آپ ڈاکٹر کے پاس جائیں اور سینے اور پیٹ کا ایکسرے کروائیں اور ان کے مشورے کے مطابق علاج کریں۔‘
ڈاکٹر ویمیش راجپوت کے مطابق ’اگر ایسی چیز غذائی نالی سے گزرتی ہے تو 90 فیصد معاملات میں یہ معدے میں جاتی ہے۔ پھر کیلے جیسے زیادہ فائبر والے پھل کھانے یا جلاب آور دوا کھانے سے اسے پاخانے کے راستے نکلنے میں مدد مل سکتی ہے۔‘
لیکن اگر کوئی ایسی چیز سانس کی نالی میں پھنس جائے تو کیا کرنا چاہیے؟
ڈاکٹر راجپوت نے اس سوال کے جواب میں کہا کہ ’اگر کوئی چیز سانس کی نالی میں اٹک گئی ہے تو بھی ایمرجنسی علاج کی ضرورت ہوتی ہے۔ اگر وہ شے تھوک کے ساتھ باہر نہ آئے تو برونکوسکوپی کی جاتی ہے۔ بہت کم کیسز میں سرجری کی جاتی ہے۔‘
ماہرین کے مطابق بچوں کی ایسی اشیا نگلنے کے واقعات میں پچھلے کچھ سالوں میں نمایاں اضافہ ہوا ہے۔ ان واقعات سے پیدا ہونے والی طبی پیچیدگیوں کو روکنے کے لیے والدین کی آگاہی ضروری ہے۔
ڈاکٹرز کے مطابق ایسے معاملات میں بروقت علاج جتنا ضروری ہے اسی طرح ان واقعات کو رونما ہونے سے روکنے کے لیے پیشگی احتیاطی تدابیر اختیار کرنا بھی اتنا ہی ضروری ہے۔